
Daniel F. Kiernan, MD, discusses key findings of a clinical study analyzing the effect of dexamethasone intracameral drug-delivery suspension on macular thickness based on OCT testing following vitreoretinal surgery.

Daniel F. Kiernan, MD, discusses key findings of a clinical study analyzing the effect of dexamethasone intracameral drug-delivery suspension on macular thickness based on OCT testing following vitreoretinal surgery.

During ARVO 2021, Sunil Srivastava, MD, points out that optical coherence tomography characteristics may be predictive of the efficacy of the injections.

Advances in integrative technology enable a transition to the operating room.

Minimizing clinic visits, maximizing use of imaging modalities are key.

Technology helps physicians understand normal and abnormal macular anatomy.

Physicians should evaluate which options best meet the needs of their practices.

Tool can help physicians detect, monitor ophthalmic disease in their patients.

Key is to recognize usual patterns for systemic and topical medications.

Emerging technology may facilitate individualized care, disease management.

Study evaluates the impact of surgical procedure on visual outcomes in patients.

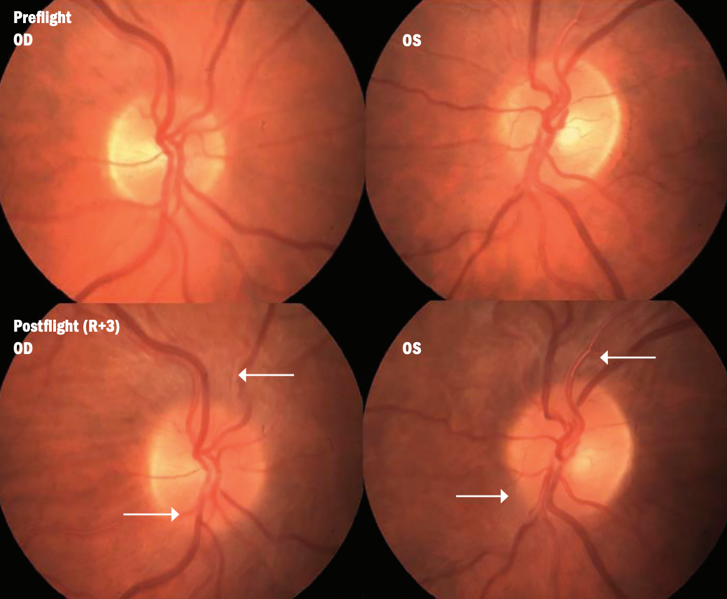
Spaceflight-associated neuro-ocular syndrome a potential challenge during long missions.

Imaging ciliary muscle details mechanism of accommodation, effects of aging .

Novel OCT system with AI-based image analysis holds promise.

Surveyed patients express dissatisfaction with efficacy of eye drops.

Study designed to identify patterns in abnormalities and differences characteristic of disease.

Investigators find value in screening for macular disease in preoperative evaluation

Emerging technology may be able to fill existing imaging diagnostic gaps

Justis P. Ehlers, MD, speaks on the key findings and take-aways from his presentation "Impact of baseline OCT characteristics on response to risuteganib for the treatment of intermediate age-related macular degeneration (AMD)."

During the COVID-19 pandemic, it is important to develop technologies to keep patients and staff safe, while treating the diseases of the eye

Research finds automated segmentation software examines OCT scans




