
GT005 designed to induce local production of recombinant complement factor I.

GT005 designed to induce local production of recombinant complement factor I.

CAM’s regenerative healing means long-term relief and fewer visits to clinic.

Cotargeted therapy could help combat inherited retinal diseases.

Clinical trials show subretinal agents are safe, well tolerated by patients.

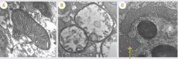
As soon as 2 weeks after treatment, changes occur to foveal layer.

Investigators uncovered evidence that CaMKII could prove to be a desirable therapeutic target for vision preservation in conditions that damage the axons and somas of retinal ganglion cells.

Nanoscope Therapeutics Inc. has dosed its first patient in a late-stage Phase 2b trial of a gene therapy that delivers multi-characteristic opsin to retinal cells.

The primary barriers to COVID-19 vaccine development are manufacturing constraints.

Usher syndrome 1G protein SANS regulates the splicing of genes, particularly those linked to Usher syndrome, which can lead to early vision loss form RP.

According to Unity Biotechnology, its trial for the small molecule inhibitor of Bcl-xL found improvement in visual acuity and central subfield thickness observed in diabetic macular edema and wet age-related macular degeneration patients treated with UBX1325.

Trial shows treatment has acceptable safety profile, may improve visual function.

Investigators find approach improved vision and visual fields in some patients.

Details enhance knowledge of biological pathways that contribute to disease pathogenesis.

RGX-314 eyed by investigators as a therapeutic option for exudative AMD.

Nanoscope Therapeutics Inc. expects to advance the therapy by launching a late-stage Phase 2b trial this summer with gene therapy that delivers multi-characteristic opsin to retinal cells.

According to the company, preclinical study results from a 42-day proof-of-concept in vivo study demonstrated a single, intralacrimal gland injection of an adeno-associated virus containing the NGF gene produced statistically significant increase in NGF in tear film, as compared to placebo, as early as Day 7.

ADVM-022 offers sharp decrease in treatment burden for patients with nAMD.

While Biogen’s XIRIUS study did not meet its primary endpoint of demonstrating a statistically significant improvement in treated eyes, positive trends were observed across several clinically relevant prespecified secondary endpoints.

Mark Pennesi, MD, PhD, reports during ARVO 2021 that preliminary results have shown that AGTC-401 and AGTC-402 seem safe and well tolerated in patients with ACHM.

Friederike Kortuem, MD, MSc, discusses how treatment with voretigene neparvovec-rzyl led to a short-term change in the foveal morphology in a patient with visual impairment that included nyctalopia and decreased visual acuity in early childhood.

According to Applied Genetic Technologies Corp., groups 5 and 6 had a 50% response rate among patients who met the inclusion criteria for the Skyline and Vista trials.

Investigators use an adeno-associated viral vector in a clinical trial to deliver a normal functioning copy of the RPGR gene via subretinal injection.

Approach can unravel causes in MYOC and TBK1 glaucoma.

Studying zebrafish helps unravel mysteries of photoreceptor regeneration .

Studies are uncovering a range of potential treatment options for disorders.