
Unique clinical trials and novel products of interest currently under investigation for the treatment of dry eye disease.


Unique clinical trials and novel products of interest currently under investigation for the treatment of dry eye disease.

Procedure can improve best-corrected visual acuity, enhancing quality of life for patients.

Backed by a five-year, $6.4 million grant from the National Eye Institute of the National Institutes of Health, investigators from Case Western Reserve University, University Hospitals and the Jaeb Center for Health Research hope to determine which diabetic patients can successfully donate their corneas for keratoplasty (and which should not).

Observation over the long term is needed to determine treatment efficacy.

Novel technique provides another option for normal and irregular corneas.

New option may prove to be a solution for cataract cases with unusual corneas.

Ophthalmologist offers pearls for management, treatment of myriad issues.

Ophthalmologists refine procedures, offer better outcomes for patients.

Pearls for ophthalmologists guides for handling damage during open globe repair.

Physicians should consider basing decisions on findings from comprehensive consultation and examination.

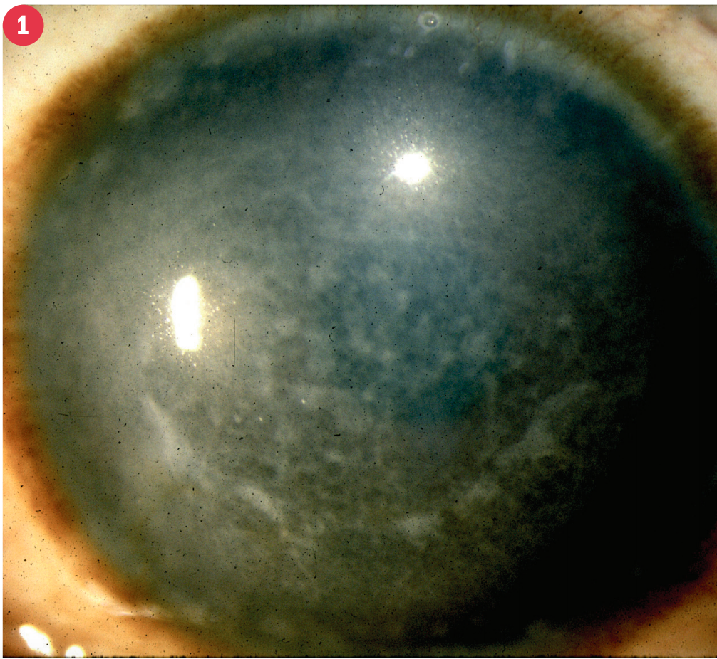
Ophthalmologists can opt to use vital stains for cultures and corneal scrapings.

Physician provides contemporary perspective and pearls to guide ophthalmologists.

Phakic option provides hope to patients who are not candidates for laser vision correction.

Peptides offering ophthalmologists a potential treatment option for keratitis.

According to investigators, a lack of definitive knowledge about the presence of SARS-CoV-2 in corneal tissues has resulted in the recommendation to avoid using corneal tissue for transplantation when the tissue was obtained from donors with COVID-19 that had been confirmed or those who were exposed to COVID-19.

Ocular symptoms in COVID-19 patients may be more common than previously thought — with sore eyes a significant sign of disease.

Changes after DMEK, UT-DSAEK may be factors in reduced total corneal refractive power

Ocular comorbidities diminish BCVA results

Relational thickness altered tool details LASIK impact on the cornea.

Emerging technology may be able to fill existing imaging diagnostic gaps

A team of researchers at the University of Alberta believe a case of pink eye is now a reason to be tested for COVID-19.



