
The company's AI-enabled mobile telemedicine platform helps clinicians capture retinal images and screen for vision-threatening eye diseases, such as diabetic retinopathy, glaucoma and age-related macular degeneration.

The company's AI-enabled mobile telemedicine platform helps clinicians capture retinal images and screen for vision-threatening eye diseases, such as diabetic retinopathy, glaucoma and age-related macular degeneration.

Investigators find that youth show altered ocular movements, reduced amplitude of accommodation.

Investigators set out to better define therapeutic options for controlling the inflammatory response and reducing the risk of pseudophakic cystoid macular edema after cataract surgery.

A web app-based personalized music intervention before cataract surgery may lower anxiety levels or reduce the need for sedative medication.

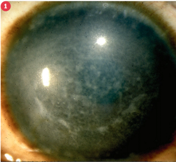
Diagnostics, imaging, and therapeutics pave the way for better outcomes.

Retinal and choroidal changes were observed in study.

Perspectives from a pediatric ophthalmologist and mother.

Investigators find that long-term ocular complications require further observation.

Papilledema with back pain suggests spine lesion.

Sunir Garg, MD, reports on the risk of presumed infectious endophthalmitis following administration of anti-VEFG injections in correlation with universal masking.

Yoshihiro Yonekawa, MD, reports on the findings of an investigation looking at the prevalence of endophthalmitis following minimally invasive glaucoma surgery.

Study: Older age and eyes with severe nonproliferative diabetic retinopathy or proliferative diabetic retinopathy had a higher risk of a vision loss event.

Nasotemporal sagittal height asymmetry a good biomarker of shortsightednes.

A retrospective review was performed to describe changes in corneal thickness and to identify the incidence of posterior corneal changes characteristic of keratoconus, following DMEK surgery. Here’s what investigators found.

Mutations in this glaucoma-associated gene may be commonly reported in many other neurodegenerative diseases.

Organization looks to improve global eye care through ophthalmic education.

Investigators searched PubMed over the past 2 decades for clinical trials on eyelid ptosis using the terms blepharoptosis or upper eyelid ptosis or eyelid ptosis” and the filters “randomized controlled trial (RCT), clinical trial, and humans.”

Randomly assigned controlled trials key in increasing understanding of disease.

Advances help gain clearer image, enhancing decision-making process.

Tool for quantifying measures may predict outcomes for patients.


Substantial weight loss can help patients’ eye health, study results show.

The Research to Prevent Blindness (RPB), the Association of University Professors of Ophthalmology (AUPO) and an anonymous donor have recognized Donald Zack, MD, PhD, for ground-breaking contributions to the field of vision research.

According to Oculus, its Myopia Master saves space and can be mounted on a workstation or an ophthalmic table. The software is operated directly via an inbuilt display.

The company is evaluating topical cyclosporine to treat the signs and symptoms of dry eye disease.