
Outlook Therapeutics has reported positive efficacy and safety data from Phase 3 NORSE TWO trial of bevacizumab-vikg.

Outlook Therapeutics has reported positive efficacy and safety data from Phase 3 NORSE TWO trial of bevacizumab-vikg.

Focus on maximizing visual examination by combining methods of detection-based testing.

The organization hopes to help 1 billion people worldwide, committing the international community to improve vision for 1.1 billion people living with preventable vision loss by 2030.

Perhaps the most important consideration is understanding the neuromuscular pathway that retracts and protracts the eyelid.

Use of a drug to correct the eyelid position could eliminate the complications associated with surgery.

First step is ruling out ocular nystagmus, saccadic disorder.

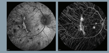
Jonathan D. Shader, DO, CPA, presents a case study involving an uncommon cause of posterior-intermediate uveitis: the black ink used to create a tattoo.

Case study looks at a 90-year-old patient with a sebaceous gland carcinoma with corneal and bulbar conjunctival involvement, but the eyelid was spared.

Case study of 2 sisters with Leber’s congenital amaurosis (LCA) analyzes ocular findings, connection.

This research was a finalist in the 2020 Ophthalmology Times® Research Scholar Honoree Program.

New strategies are needed to rethink how we treat glaucoma to do more than just manage eye pressure—to actually restore vision by promoting the survival of retinal ganglion cells and their axons.

Pressure-dependent optic nerve disease, retinal disease.

Two trials examine factors affecting the risk of disease.

Clues to diagnosis from patient/family histories, examination techniques.

Physicians should hospitalize ON patients to prevent blindness, possible death.

Knowledge of tools used in data interpretation helps clinicians trust accuracy of findings.

AAO develops task forces to evaluate academy, review outcomes in ophthalmology.

Santen Inc. announced Thursday that the U.S. FDA has approved Verkazia (cyclosporine ophthalmic emulsion) 0.1% eye drops to treat vernal keratoconjunctivitis (VKC).

Patients who are members of racial and ethnic minority groups present clinically with worse objective measures of dry eye than patients who do not belong to these groups, new research shows.

Postop management with long-term topical antibiotics is critical to successful device retention.

The American Medical Association is advocating equitable resource distribution of vaccinations to assist low-income countries.

According to investigators, infants may have an edge over adults, with babies demonstrating a stronger immune response to the SARS-CoV-2 virus.

According to investigators, the new technology is designed to detect telltale signs of major blinding diseases in retinal blood and tissue that typically go unseen until it is too late.

The US Supreme Court ruled Thursday that the Affordable Care Act remains valid, rejecting a claim by several states that a recent change to the law made it unconstitutional.

The event, being held at the Mandalay Bay Resort and Casino in Las Vegas, is offering a full agenda for in-person attendees.