
Polish researchers found positive bacterial cultures in premature infants correlated with severe retinopathy of prematurity (ROP), suggesting a potential prognostic marker for early ROP development.

AAO 2023: Study finds children diagnosed with sickle cell disease seem to suffer eye issues at same rate as adult patients

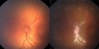
Polish researchers found positive bacterial cultures in premature infants correlated with severe retinopathy of prematurity (ROP), suggesting a potential prognostic marker for early ROP development.

NVK002 is currently under FDA review, with a PDUFA date scheduled for January 31, 2024.

The MyopiaX-1 trial studies MyopiaX, a smartphone application that aims to slow the progression of myopia, or nearsightedness, in children and adolescents.

Efficacy of treatment option is also confirmed in pediatric population in India.

According to the companies, the partnership will roll out a proprietary system that has earned FDA breakthrough designation, one of the few ophthalmic devices to achieve this status in almost a decade.

Research from Orbis International analyzes the overall wellbeing of children with common childhood vision problems.

The 6-month-old boy’s dark brown eyes turned deep blue after he was treated for COVID with favipiravir.

Henriquez pointed out that waiting for keratoconic progression runs the inherent risk that keratoconus will progress rapidly and affect the planned initial treatment protocol.

According to researchers from University of Michigan and Duke University, children with Medicaid or other public insurance are far less likely than those with private insurance to have had a vision check in the last year at a primary care office.

The Vanderbilt University Medical Center study contradicts earlier studies from East Asia that showed the small dose of atropine is effective in slowing progression of myopia.

The month will be dedicated to educating families on the importance of healthy vision and early access to healthcare.

A study found the approach identifies high-risk patients so all preemies don’t need to undergo an invasive eye exam.

OCT methods are invaluable in the assessment of patients with the condition.

Experts weigh pros and cons of treatment option for orbital cellulitis in pediatric patients

Vitrectomy is a tool that can help surgeons curb complications.

The $150 Million Series B funding will allow for the registration and launch of gilderuretinol, the first and only medicine in clinical development to address the underlying mechanism of Stargardt disease.

NVK002 is a proprietary, investigational, preservative-free eye drop administered nightly and intended for patients ages 3 to 17.

The photochromic lenses, available in Singapore, provide added protection against intensive sunlight and can darken outdoors and fade back to transparent indoors.

The investigative team wanted to provide physicians with reference guidelines to aid in the prevention and control of myopia.

The number of cases continues to rise throughout the world

Nonpowder guns, like NERF guns, are causing an increase in ocular injuries in children.

Scientists at Medical College of Georgia demonstrated in their animal model of retinopathy of prematurity that the small molecule K604, which is being explored in cancer and Alzheimer’s, can block the development of leaky, obstructive blood vessels in the retina, tamp down inflammation and enable more normal blood vessel growth

Vitrectomy, lensectomy remain the primary surgical approaches for condition.

The UCL-Moorfields team have developed a deep learning AI model to screen for ROP, which was trained on a sample of 7,414 images of the eyes of 1,370 newborns who had been admitted to the Homerton Hospital, London, and assessed for ROP by ophthalmologists.

Glaucoma specialists nationwide reported that glaucoma-related adverse events were common after cataract surgery in children.