
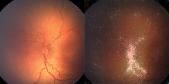
The UCL-Moorfields team have developed a deep learning AI model to screen for ROP, which was trained on a sample of 7,414 images of the eyes of 1,370 newborns who had been admitted to the Homerton Hospital, London, and assessed for ROP by ophthalmologists.





















































