
According to the company, the transaction includes U.S. and Canadian commercial rights to six therapeutics, including two non-prescription brands.

According to the company, the transaction includes U.S. and Canadian commercial rights to six therapeutics, including two non-prescription brands.

According to the company, initial interim Phase 2 efficacy data is expected to be presented in H1 2024. It also is expected to provide an update regarding Phase 3 pivotal trial plans in Q1 2024 after discussion with the FDA later this year.

A recent study demonstrates the safety and efficacy of treating eyes with cross-linking after keratoconus relapses following keratoplasty.

Lens is stable in capsular bag, less sensitive to misalignment.


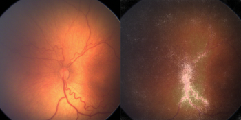
A trial funded by the National Institutes of Health underscores need for more research to head off high myopia.


The complement system identifies and eliminates pathogens and dying cells, 3 pathways can activate the complement system—classical, lectin, and alternative—and their activation results in similar functions of opsonization, inflammation, and cell lysis.

Nominations for the 2023 awards will close July 31, 2023.

According to a study, the experimental eye drop treatment was twice as effective as the standard injection therapy at reducing swelling and improving blood flow within the retina of mice with RVO.

While these complications are rare, they require prompt diagnosis and management to prevent serious visual morbidity.

This certifies that the facility adheres to a comprehensive set of regulatory standards as set by the NABP to ensure safety of drugs and medical devices in the US.

Take a look at a review of the highlights and hottest stories from Ophthalmology Times during the week of July 9, 2023.

The London-based company will use regenerative medicine to fight ocular disease.


According to researchers at Duke University Medical Center, the tool demonstrates the potential for a non-invasive and inexpensive way to diagnose a common precursor of Alzheimer’s disease.

The company has completed evaluation on candidates and selected a single drug candidate to move forward into clinical trials.

The 2023 41st annual meeting of the American Society of Retina Specialists (ASRS) will run from Thursday, July 27 to Tuesday, August 1 in Seattle, a city filled with sightseeing, museums, and great food to explore.

The skills highlighted during the session are some of the most important tools in an ophthalmologist’s toolbelt and learning and practicing them early, even as a medical student, is crucial.

The Kansas-based company specializes in ophthalmic surgical equipment and services.

CT1812 is an experimental, oral therapy for the treatment of geographic atrophy secondary to dry age-related macular edema.

ASRS is an international, state-or-the-art event offering something for everyone: scientific papers, posters, panel discussions on controversial issues and techniques, award lectures, a Retina Case Conference, the 25th Annual Film Festival, international symposia, and subspecialty review courses.

Investigators set out to evaluate how well an AI system works when integrated into a handheld smartphone-based retinal camera to screen patients for DR using 1 retinal image in each eye.

According to the companies, R100 is an adeno-associated virus (AAV) vector invented by 4DMT for intravitreal delivery. It has the ability to penetrate the internal limiting membrane barrier and to efficiently transduce the entire retina, resulting in robust transgene expression within retinal cells.

According to the company, VRDN-001 data demonstrated clinically meaningful and rapid improvement in signs and symptoms of chronic TED at week 6 after receiving two infusions of VRDN-001 10 mg/kg or 3 mg/kg.

Researchers investigated the relationship between visual functioning measured using the National Eye Institute 25-Item Visual Function Questionnaire (VFQ-25) and mortality in patients with various stages of AMD.

While these injections are the standard treatment for this patient population, the investigators found a subgroup of patients who had severe visual loss between 2 consecutive intravitreal injections.

American Academy of Ophthalmic Professionals members will enjoy expanded opportunities for career advancement and access to the most up-to-date information in the field, including a new technician learning track at the Academy’s annual meeting in San Francisco this November.

According to the company, the financing will advance novel treatments for glaucoma and other chronic ophthalmic diseases by supporting multiple US clinical trials of its drug delivery platform.

Severe ocular surface and corneal damage an unseen public health burden.