
Lynda Charters
Articles by Lynda Charters


While the surgeons reported that the BW filter provided higher contrast during nucleus and viscous removal and posterior capsular polishing, they subjectively reported no significant advantage of using a BW filter.

According to the company, new imaging options presenting opportunity for better outcomes for patients.

Janet B. Serle, MD, discusses the pros and cons of various treatment options.

Physicians use a new administration method to treat patients diagnosed with noninfectious uveitis.
Speaking at the American Society of Retina Specialists 2022 annual meeting at the Jacob K. Javits Convention Center in New York, J. Fernando Arevalo, MD, PhD, The Edmund F. and Virginia B. Ball Professor of Ophthalmology, chairman of ophthalmology at Johns Hopkins Bayview Medical Center, Wilmer Eye Institute, Johns Hopkins University, Baltimore, outlined his investigation of the anatomic and functional outcomes of pars plana vitrectomy, scleral buckle, or a combination of the 2, and suggested that the combination approach may need further consideration.

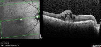
Speaking at the American Society of Retina Specialists 2022 annual meeting in New York, Carl Danzig, MD, detailed how treatment with faricimab in patients with neovascular AMD resulted in improvements in visual acuity, central subfield thickness and pigment epithelial detachments.

During a presentation at the American Society of Retina Specialists 2022 annual meeting in New York, Bobeck S. Modjtahedi, MD, presented results of a study that examined the accuracy of tools for predicting the risk of vision-threatening diabetic retinopathy.

In a presentation at the American Society of Retina Specialists, Dimitra Skondra, MD, PhD, points out that the low-to-moderate doses of metformin carried the greatest potential benefit in a retrospective case-control study.

In a presentation at the American Society of Retina Specialists 2022 annual meeting at the Jacob K. Javits Convention Center in New York, Yoshihiro Yonekawa, MD, detailed that primary scleral buckling achieved the best visual acuity, and pointed out that rhegmatogenous detachments increased with age.

According to William B. Trattler, MD, progression of the disease before cross-linking often can be identified over a period of months.

According to Mark Lobanoff, DO, earlier treatment also can mean the best possible results for patients.

The 40th annual scientific meeting of the American Society of Retina Specialists will be held July 13-16 at the Jacob K. Javits Convention Center in New York.

The procedure ensures the removal of cortical remnants, capsular fibrosis during cataract surgery.

Using a cloud-based digital health option can save time during surgery.

Ophthalmologists should look past the eyes in patients presenting with a persistent ocular allergic response and be mindful of accompanying nasal symptoms.

The lower energy applications and slower sweep speeds offer marked IOP reductions in patients.

Researchers believe this may be the first report of the use of topical brimonidine gel for the treatment of eyelid ptosis associated with cosmetic use of botulinum toxin.


Study demonstrates results of pegcetacoplan as a geographic atrophy therapy.

The rare disorder is often a delayed or misdiagnosed condition, resulting in unnecessary referrals and imaging.

Study zeroes in on the sustained mechanism of action of the therapeutic.

According to investigators, halos are the most common complaint for patients who received an implantable collamer lens to address myopia.

Automated 360-degree goniophotography seems to have simplified screening and diagnosis of glaucoma.

A team of investigators has found that a comparison of ranibizumab and aflibercept showed both drugs safe and effective for treating diabetic macular edema.

Alterations of the outer retinal layers from age-related macular degeneration (AMD) can interfere with the automated segmentation of the individual retinal layer thicknesses when using macular optical coherence tomography (OCT).

Clinicians discover the ptotic facial side of the face was the nondominant side of the face in a recent study.

Investigators find the recognition could improve surveillance of the disease.

In a paper, investigators identified strategies used by patients to reduce the cost of therapy and its impact on adherence to treatment Patients may be reluctant to disclose challenges regarding adherence to dry eye disease therapy, as well as fears of worsening quality of life.

Investigators note that the capacity to visualize corneal nerves of the sub-basal plexus and stroma in real time and without requiring use of contrast agents allows for longitudinal studies that can track nerve density and arborization in the same subjects over time.