
News
Advertisement


Advertisement


Delivering the Drs. Henry and Frederick Sutro Memorial Lecture, David W. Parke II, MD, CEO of the American Academy of Ophthalmology, points out that patients and physicians can benefit from innovations in treatment. However, health policy and economics often can stand in the way of innovation.


Advertisement


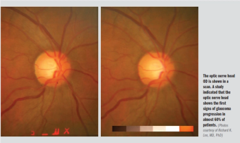
The Glaucoma Symposium offers ophthalmology and optometry professionals an opportunity to sharpen their knowledge about glaucoma.









Key opinion leaders review approaches used to improve outcomes in patients with open-angle glaucoma.












Advertisement
Advertisement
Trending on Ophthalmology Times - Clinical Insights for Eye Specialists
1
FDA clears BVI’s FineVision HP trifocal IOL for the US market
2
Treating myopia today: US-focused treatments, challenges, and global insights
3
AAO 2025: A practice’s experience with connecting "the why," building community for techs
4
US FDA awards Epion Therapeutics EpiSmart cross-linking system Fast Track designation
5