
Organization kicks off initiative as it views mental health as a key public health concern in the WHO European region, where more than 110 million people are living with some type of mental health issue.

Organization kicks off initiative as it views mental health as a key public health concern in the WHO European region, where more than 110 million people are living with some type of mental health issue.

A New York City physician describes how he coped with the disease in the early days of its US appearance as well as the silver lining in his diagnosis: a reinforcement of the doctor-patient relationship.

Investigators note the need for less medication over 12-month period

The FDA on Sunday issued an emergency use authorization to allow treatment with COVID-19 convalescent plasma for patients who are hospitalized with the disease.

Pandemic is disrupting clinical facilities, putting individuals’ ocular health at risk

Research results can help ophthalmologists treating patients with macular edema

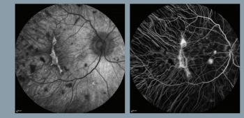
Investigators examine and analyze outcomes of aflibercept compared with laser treatment in patients

The use of a human monoclonal antibody (Narsoplimab, Omeros) to treat acute respiratory distress syndrome (ARDS) associated with COVID-19 resulted in recovery and survival of the affected patients.

According to a recent study, communities across the country are dealing with an increased number of mental health challenges due to “COVID-19–associated morbidity, mortality, and mitigation activities.”

Emerging technology may be able to fill existing imaging diagnostic gaps

Following cataract surgery, the dropless option is proving to be a preferred method during recovery

Researchers note that more study of conjunctivitis is needed in patients with COVID-19

Gene therapy to treat choroideremia shows potential for maintaining or improving vision

Machine-learning algorithms have potential to predict patients with nonproliferative diabetic retinopathy who will or will not improve over time.

An ophthalmologist details how the COVID-19 crisis has helped him focus on essentials

Intravitreal injection offers safety, efficacy, and improved vision in patients

Reduced quality of life, mental health issues are major adverse effects of TED

For many physicians, "moral injury" may be an actual issue

An inhaled formulation of interferon beta, significantly decreased the chances of hospitalized patients developing severe COVID-19 compared to placebo.

How gonioscopy can offer ophthalmologists an option in treating patients with glaucoma

Researchers are looking for options to reduce corneal surface flora in patients

The COVID-19 global pandemic continues to have an impact on ophthalmologists, their practices and daily life. For patients, there can be additional pressures that are concerning.

ASRS 2020 coverage: Peter Campochiaro, MD, detailed findings of phase 2 of the Ladder Trial and ongoing Archway Trial during the virtual 2020 American Society of Retina Specialists (ASRS) annual meeting.

ASRS 2020 coverage: The results of the Protocol T Extension Study underscore the need for methods to improve long-term visual gains in eyes with diabetic macular edema, according to Dante Pieramici, MD,on behalf of the DRCR Retina Network.

Trabeculectomy may offer better results with more severe glaucoma

ASRS 2020 coverage: Carl Danzig, MD, presented results of phase 2 Stairway Trial during the virtual 2020 American Society of Retina Specialists (ASRS) annual meeting. Faricimab is a bispecific antibody that simultaneously inhibits angiopoietin-2 and vascular endothelial growth factor A.

Technology is off to a good start, but improvements still needed

New research is looking past just regulating the IOP, using a single-cell RNA to identify 12 distinct cell types in trabecular meshwork.

ASRS 2020 coverage: An augmented-reality device provides AMD patients with enhanced reading ability and facial recognition.

ASRS 2020 coverage: Intravitreal liposome-encapsulated bromfenac is under study as a treatment for refractory DME. Results of a pilot study were detailed at the virtual 2020 American Society of Retina Specialists (ASRS) annual meeting.